Olympus GIF-H290EC
EVIS LUCERA ELITE - Diagnostic Video Gastroscope - Endocyto observation with 520x*1 magnifi cation
Beyond Imagination
Introducing Endocyto, Olympus has broken new ground in endoscopy.
Ultra-high magnification of up to 520x*1 enables observation at the microscopic level and helps to improve diagnostic accuracy.
Endocyto presents a new era of diagnostic endoscopy.
Operation of the Zoom Lever to Change Magnification Levels
Endocyto is equipped with a manual zoom mechanism resembling a conventional magnifying scope.
With just a single endoscope, switching from normal view to magnifying observation and Endocyto observation is possible.

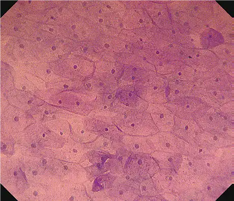
Principle of Endocyto Observation
Cell nuclei are stained with an appropriate dye. The objective lens is then brought into contact with the mucosa to observe the cells of the superfi cial mucosal layer.
Light emitted by the light guide is sent into the cells and partially returned as scattered light,facilitating cytological observation of the superfi cial mucosal layer.

Gastroscope GIF-H290EC
The Endocyto gastroscope incorporates a broad range of observation modalities including magnifying NBI and Endocyto observation with 520x magnifi cation for lesion assessment. Combined with a slim diameter of 9.7 mm, this versatile endoscope can be used in all different kinds of diagnostic gastroscopies from routine examinations to cutting-edge diagnosis.
Endocyto Observation

Nontumor (esophagus) Tumor (esophagus)
Endocyto-NBI Observation

Nontumor (esophagus) Tumor (esophagus)
Intermediate zoom-focus image with high NBI contrast
Endocyto Can be Connected to the EVIS LUCERA ELITE System
Endocyto can be used as soon as you connect it to your EVIS LUCERA ELITE system. The one-touch connector minimizes the effort required for setup prior to and in between cases and eliminates the need for a water-resistant cap and the associated risk of an expensive repair due to accidental immersion.

*1 (In combination with OEV262H)