飞利浦彩超EPIQ CVx PHILIPS EPIQ CVxi心脏彩色超声诊断系统
飞利浦彩超EPIQ CVx PHILIPS EPIQ CVxi心脏彩色超声诊断系统
购买热线:+86-21-54286005
资源
PHILIPS EPIQ CVx,CVxi_宣传册-英文
PHILIPS EPIQ CVx,CVxi规格-英文
飞利浦彩超EPIQ CVx PHILIPS EPIQ CVxi心脏彩色超声诊断系统
购买热线:+86-21-54286005
PHILIPS EPIQ CVx,CVxi_宣传册-英文
PHILIPS EPIQ CVx,CVxi规格-英文
飞利浦 EPIQ CVx 和 CVxi 是我们高端心脏超声系统,基于我们创新、模块化超声平台打造,拥有人工智能功能和先进的诊断解决方案,助您突破当前的复杂局面,将超声心动图技术推向新的高度。这使您能够实现更高的一致性、更便捷的创新、更智能的工作流程和更轻松的可扩展性。

人工智能支持的一致性
为常规和专业成像需求提供标准化结果
具有人工智能和自动化功能的飞利浦EPIQ CVx 有助于确保在扫描过程中获得一致的图像采集和解释,从而获得标准化的结果。
EchoNavigator
实时超声心动图与X射线融合

超声工作区/心血管工作区*

更高效的诊断
借助 AI-based 的自动化和量化工具,超声心动图医师可以自信地提供具有更高一致性、先进创新、高效自动化和无缝连接系统的诊断。(来源:成贯仪器)
让您在护理方面保持优势
EPIQ CVx 提供 AI-integrated的工作流程,涵盖常规和专科手术,所有流程均基于一个熟悉的行业优势平台,让您轻松掌握,并传承值得信赖的卓越品质。强大的工具和AI-based 的技术,助您在心血管医学领域保持优势地位,以更多方式为更多患者提供更优质的医疗服务。

创新
在日常和复杂病例中获得更大的临床信心EPIQ CVx 提供强大的工具和AI-based的技术,帮助您管理复杂的临床诊疗,从而以更多方式为更多患者提供更优质的诊疗服务。该系统提供增强的高清图像质量,并配备 AI-assisted和工具,可实现自动化和量化。

新的、先进的测量方法
借助AI-based的新功能和先进的自动化技术(例如我们的 3D 自动三尖瓣和彩色流量量化工具),您可以实现更高的可重复性和更智能的工作流程,这样您的团队就可以减少在琐碎任务上花费的时间,而将更多的时间花在挽救生命上。(来源:成贯仪器)
|
现配备 2D 自动 EF 和中间层应变 Advances 的进步之处在于,它能够在同一应用程序中提供快速、可重复的结果,作为全面 LV 评估的一部分,从而改善工作流程并节省时间。 |
自动节段性室壁运动评分* 在标准 17 段靶心显示屏上自动评估壁运动,以帮助客观评估 LV 壁。 |
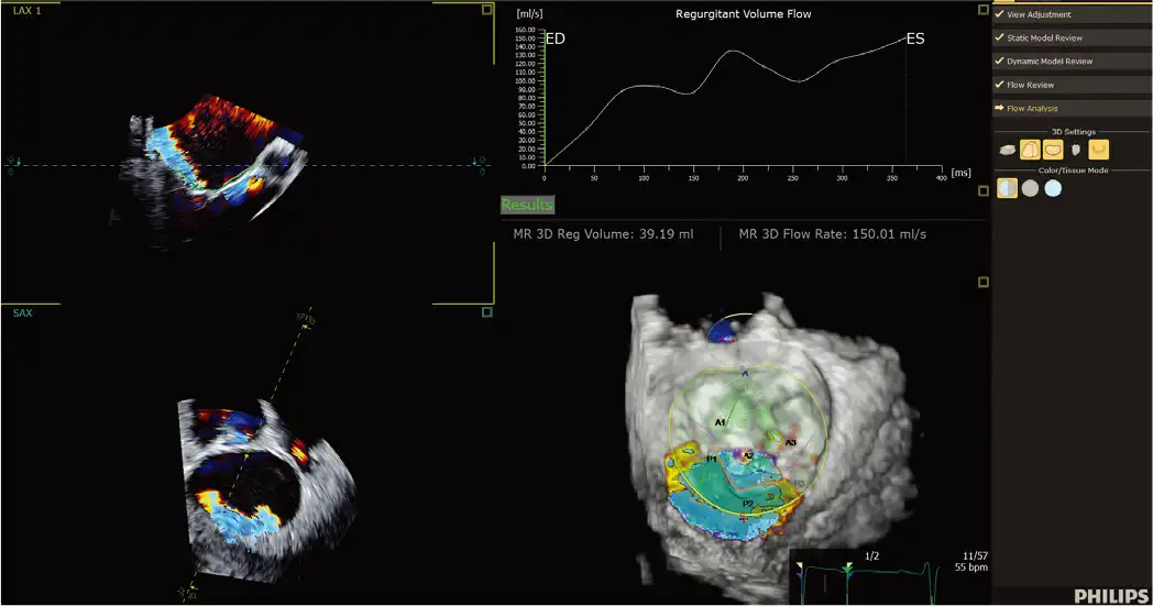
3D 自动彩色血流定量* 提供 AI 来快速、简单且可重复地测量二尖瓣反流 (MR) 体积,以帮助评估 MR 严重程度。 |
3D 自动三尖瓣定量* 人工智能通过精确的术中TV环测量(初始尺寸确定和CT计划)帮助确认/重新评估设备尺寸/选择。 |
局限性
每天,您都努力获取患者心脏的完整一致可视化图像,却面临诸多限制。图像质量低、帧率低、访问受限、手动调整尺寸以及实时性挑战,这些都阻碍着您的诊断和治疗。但情况并非一定如此。(来源:成贯仪器)
简化日常和复杂案例
通过重复、单调任务的自动化和人工智能驱动的功能,获得更大的临床信心并支持更高效的程序和更少的手动步骤。
很合适
尖端宽度减小35%
10适用于狭窄空间和复杂情况I使用全新 X11-4t 迷你 3D TEE 探头¹¹*,扩大 3D TEE 的应用范围。这款探头非常适合体型最小、体弱的患者,可扩大对儿科和成人患者的扫描范围。高效地执行手术,提高患者舒适度。X11-4t 探头与飞利浦创新产品组合集成,可与 VeriSight Pro 3D ICE** 在图像引导治疗中互补。

清晰、优质的 3D TEE 图像。

更精准地服务更多患者
除了 3D 自动三尖瓣和彩色流量量化工具外,您还可以体验 X8-2t TEE 探头和VeriSight Pro 3D ICE 大幅提升的性能.*

X8-2t TEE 探头
现在采用 nSight Plus 来提高 MPR IQ并更好地可视化流动动力学.

VeriSight Pro 3D ICE图像增强
改进的 3D 色彩支持介入手术的卓越性。

X5-1c探头
|
X5-1c 探头配备 nSight Plus,有助于优化 TTE 成像 |
X5-1c 探头肋下 xPlane 肺动脉图像 |
|
X5-1c 探头彩色多普勒二尖瓣返流(MR) |
X5-1c 磁共振 CW 多普勒探头 |
|
X5-1c t探头的动态心脏模型 |
X5-1c 探头进行自动节段性室壁运动评分指数 |
X11-4t 探头
|
X11-4t 探头进行儿科左心耳评估 |
X11-4t 探头和 TrueVue 进行瓣下膜检查 |
|
X11-4t 探头和 TrueVue Glass 进行三尖瓣 MPR 成像。 |
使用 VeriSight Pro 进行 xPlane 成像 |
|
X11-4t 探头的儿科 3D 彩色 |
主动脉瓣的 MPR 视图和 TrueVue 容积 |