CANON 160 rows CT Aquilion Precision
Aquilion Precision TSX-304A
Phone:+86-21-54286005
Resources
Aquilion Precision TSX-304A_Brochure
Microsystem
Endoscopysystem
Energysystem
+86-21-54286005
info@tenmed.net
Room 602, Building 1, No. 111 Luxiang Road (Greenland Park Plaza), Baoshan District, Shanghai, China
Aquilion Precision TSX-304A
Phone:+86-21-54286005
Aquilion Precision TSX-304A_Brochure
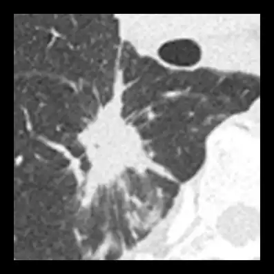
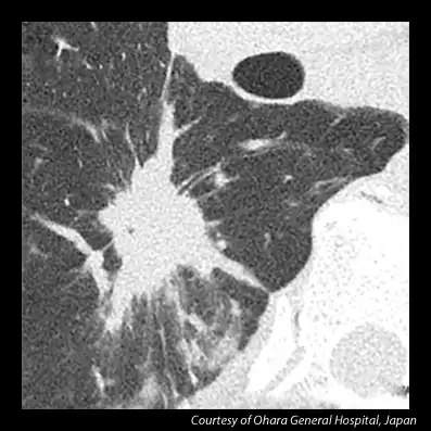
The world's first Ultra-High Resolution CT (UHR CT) capable of resolving anatomy as small as 150 microns, providing CT image quality with resolution typically seen only in cath labs. The UHR detector is newly designed to provide twice the resolution when compared with today’s CT technology, with an all-new detector as well as tube, gantry and reconstruction technologies.

The Aquilion Precision introduces a revolutionary approach to CT reconstruction that leverages Deep Learning Neural Networks specifically trained to perform one task – reconstruct images that are sharp, clear, and distinct.
Known as AiCE, this deep learning reconstruction network is trained on an advanced Model-Based Iterative Reconstruction (MBIR) algorithm to produce low noise, natural texture, and 0.25 mm, 1024 matrix Ultra-High Resolution CT images several times faster than clinical MBIR today.

In CTA examinations SURESubtraction has the ability to remove bone, calcium and stents from data sets allowing clinicians an unobstructed view of the arteries. Moreover, SURESubtraction can create iodine maps to enable the assessment of the distribution of contrast media within the body to visualize local perfusion.


*MTF 0% (reference value)
The Aquilion Precision Ultra-High Resolution detector maintains the same geometric efficiency as a conventional detector even though there are four times the number of detector elements, septa and electronics.



Small Focal Size (0.4 mm X 0.5 mm)
The UHR tube incorporates an adaptive focal spot, capable of producing six precise focal spot sizes to meet the demands of UHR CT. The focal spot adapts to the patient size, collimation, matrix and clinical task, ensuring the optimal resolution for every examination.

The UHR couch enables clear images at 0.15 mm resolution while maintaining the popular popular design features for patient and technologist comfort and safety.
