CANON 320 rows CT Aquilion ONE PRISM Edition
Aquilion ONE PRISM Edition TSX-306A
Phone:+86-21-54286005
Resources
Aquilion ONE PRISM Edition TSX-306_Brochure
Microsystem
Endoscopysystem
Energysystem
+86-21-54286005
info@tenmed.net
Room 602, Building 1, No. 111 Luxiang Road (Greenland Park Plaza), Baoshan District, Shanghai, China
Aquilion ONE PRISM Edition TSX-306A
Phone:+86-21-54286005
Aquilion ONE PRISM Edition TSX-306_Brochure
Healthcare was and still is under huge pressure, resulting in a long waiting list for patients in which flexibility is required.
Our products are designed to be as simple to use as possible. A user-friendly interface, easy-to-access data, and easy positioning can save you and your patient precious time. New users can quickly understand each product's functionality, learn how to operate them, and achieve the desired outcomes fast, minimizing training requirements for staff. That’s why this MyVisit platform was developed for you!
Discover all about our Aquilion ONE / PRISM Edition or request a demo from Canon Medical, to guide you through the 360˚ of this MyVisit platform.

The Aquilion ONE / PRISM Edition is packed with advanced innovations, including AI-assisted technologies, to increase your clinical confidence and optimize your workflow.
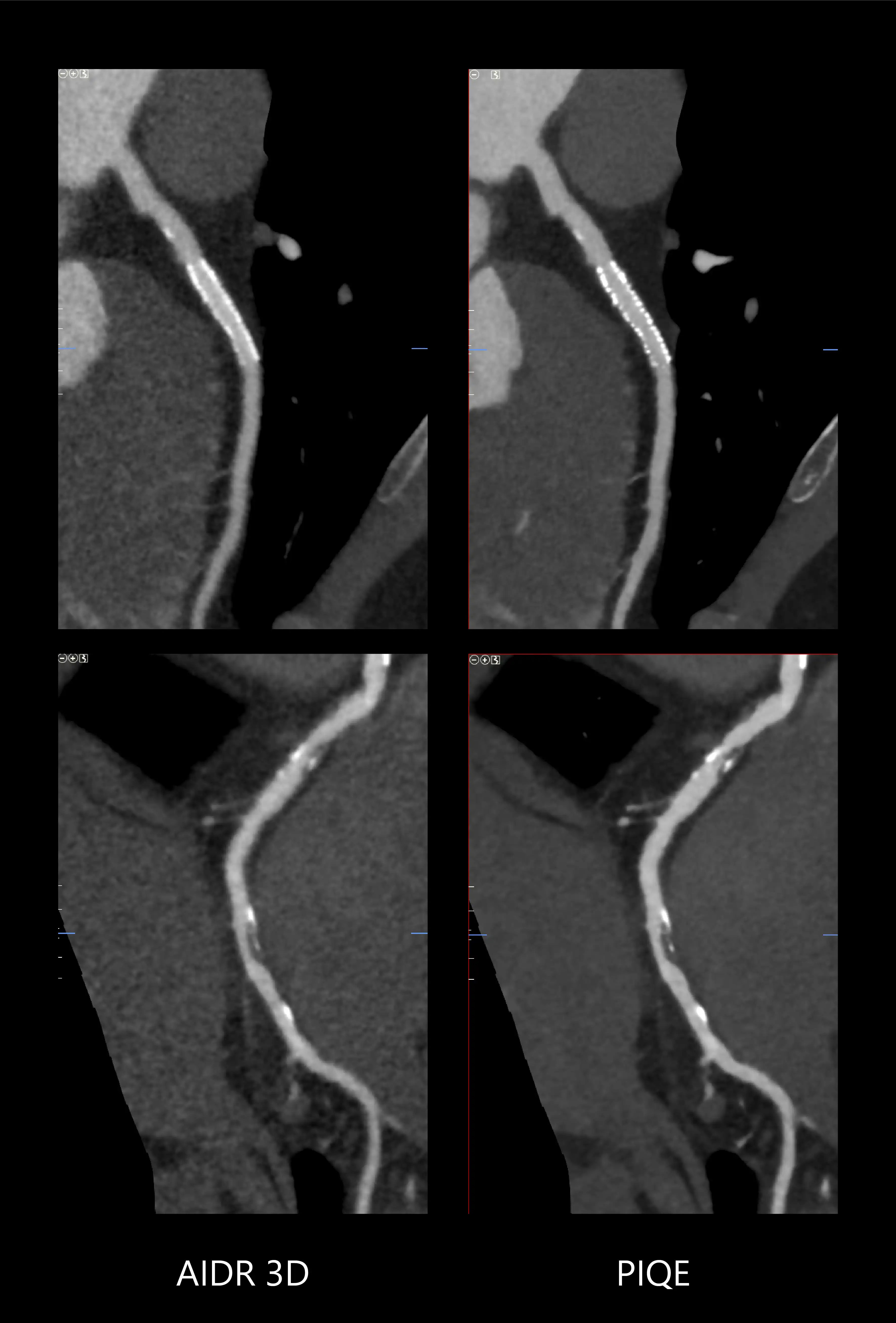
PIQE provides improved spatial resolution and 45% reduced noise* for improved in-stent visualization with clear depiction of vessel lumen to evaluate neointimal hyperplasia and in-stent restenosis. The high contrast to noise properties of PIQE exams also provide better evaluation in heavily calcified coronary arteries with no loss of low contrast detectability* – and these benefits are provided without any additional dose.
Robust for all patients, ONE beat CTA examinations with PIQE offer:
*Compared to AIDR 3D

Courtesy of Dr. Marcus Chen, NHLBI, National Institutes of Health, USA
Designed to work in combination with AiCE, SilverBeam delivers AI-enhanced, high-quality, low-noise CT lung cancer screening images at the radiation dose on the order of a typical chest X-ray exam.
SilverBeam with AiCE can be used to confidently set up a lung cancer screening service in your hospital.

CT reconstruction that uses Deep Learning innovation to match the spatial resolution and low-noise properties of advanced model-based iterative reconstructions to produce high quality images without compromising on speed or dose.
*Natural defined as similar to FBP as compared to MBIR

The Aquilion ONE / PRISM Edition harnesses the temporal benefits of rapid kV switching with patient specific mA modulation and combines them with a Deep Learning Reconstruction that delivers excellent energy separation and low-noise properties.
Images can be delivered directly to your reading station, and with our range of new Vitrea™ applications, you can easily analyze comprehensive spectral data, including quantification and multi-layered images for a more detailed and definitive diagnosis.

The Aquilion ONE / PRISM Edition’s 16 cm wide area detector significantly improves your ability to obtain high-quality images consistently across patients. With just one rotation, you can acquire an entire heart, in a fraction of a second, with less dose and great z-axis uniformity.

Canon Medical’s comprehensive stroke evaluation platform performs whole brain perfusion imaging and 4D digital subtraction angiography of the intracranial circulation in just one minute. Plus, with advanced 4D brain perfusion software, you can now evaluate flow and perfusion defects in under five minutes.

Conduct faster, more focused interventional procedures with a new hybrid CT Fluoroscopy interface that enables one-handed operation with ergonomically designed controls and a versatile touchscreen tablet.

We’ve improved the entire scan experience – for both patients and staff – with smart technology that does most of the heavy lifting for you.
Move your patient up, down, left, or right to the correct position at the touch of a button.

The shorter flared gantry lets you treat any patient from the front or rear of the tunnel.

Bypass the usual scanogram by setting the field of view and scan range directly at the gantry.

At 19 m2, Aquilion ONE / PRISM Edition is one of the smallest, most space-efficient Spectral CT systems in the market.

Our IT solutions are dynamic and scalable enough to meet a whole range of needs – whether you’re a smaller clinic or a well-established enterprise. Simply pick and choose the configurations that work for you, and even open the up to remote users, so you’re never confined to a single setting.
