奥林巴斯电子输尿管镜URF-V
URF-V 电子内窥镜通过远端的 CCD 传感器提供清晰的图像。 NBI 功能改善了粘膜的可视化,进一步帮助 UTTC 癌症的早期诊断,加上管旋转使操作更容易。注册证编号:国械注进20172061551
购买热线:+86-21-54286005
资源
URF-V宣传册-英文
URF-V 电子内窥镜通过远端的 CCD 传感器提供清晰的图像。 NBI 功能改善了粘膜的可视化,进一步帮助 UTTC 癌症的早期诊断,加上管旋转使操作更容易。注册证编号:国械注进20172061551
购买热线:+86-21-54286005
URF-V宣传册-英文
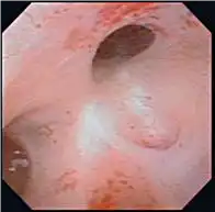
通过远端的CCD传感器提供了清晰的300%的图像。此外,窄带成像(NBI)能力改善粘膜的可视化,进一步有助于UTTC癌症的早期诊断。管旋转功能和人体工程学设计允许轻松,舒适的输尿管镜。

输尿管镜远端
CCD成像传感器将CCD成像传感器放置在输尿管镜的前端,无需摄像头附件即可获得无莫尔条纹的明亮图像,无需进行对焦。

大图像尺寸
奥林巴斯输尿管镜拥有目前最大的图像尺寸**.URF-V的图像大约是我们传统纤维镜的三倍,充分利用了其高分辨率图像质量并增强了观察能力。

常规纤维镜图像* URF-V图像
* 与OES纤维输尿管镜URF-P5和摄像头OTV-S7H-1D-L08E连接时.
** 截至2008年11月
窄带成像
NBI使用选定的波长的光来利用人体组织的散射和吸收特性;这为您提供了一个改善的粘膜图像,并协助UTTC的诊断和治疗。

常规图像 NBI图像
插入管旋转功能
旋转角度为±90°的插入管旋转功能使您能够在输尿管镜手术中瞄准石块时对激光尖端位置进行微调。它也可以让你采取一个舒适的工作位置。

上180°/下275°角向下倾斜275°
选项可让您以良好方式显现下部花萼,180°向上角度(小半径)是您进入上部/中部花萼的理想选择。
集成摄像头,符合人体工程学设计
集成摄像头和导光线缆使您在URS过程中轻松处理输尿管镜。此外,控制部分还有四个可编程按钮,可以快速访问经常使用的功能。
技术参数
|
光学系统 |
视野 |
90° |
|
视角方向 |
0°(正向) |
|
|
景深 |
2〜50mm |
|
|
插入管 |
末端外径 |
8.5 Fr. |
|
插入管外径 |
9.9 Fr.(3.3mm) |
|
|
工作长度 |
670mm |
|
|
器械通道 |
内通道直径 |
3.6 Fr.(1.2mm) |
|
弯曲部分 |
角度范围 |
上180°/下275° |
|
总长度 |
(来源:成贯仪器) |
980mm |