飞利浦Elite彩超 PHILIPS EPIQ Elite彩色超声诊断系统
飞利浦Elite彩超 PHILIPS EPIQ Elite彩色超声诊断系统
购买热线:+86-21-54286005
资源
EPIQ Elite_宣传册-英文
飞利浦Elite彩超 PHILIPS EPIQ Elite彩色超声诊断系统
购买热线:+86-21-54286005
EPIQ Elite_宣传册-英文

24英寸显示器

我们创造了领鉴者
飞利浦探头家族,带来出色的细节分辨率及穿透力,轻松应对疑难
病例。

飞利浦EPIQ Elite彩色超声诊断系统
“矩”世无双

X6-1探头9000+阵元 XL14-3探头56000+阵元
X6-1 探头
大角度明晰二维(来源:成贯仪器)

xPlane实时任意双平面

立体显示肿瘤的三维结构
• 实时呈现肿瘤灌注进程
• 真实显示滋养动脉走向及数量
• 消融后通过四维超声造影评估疗效

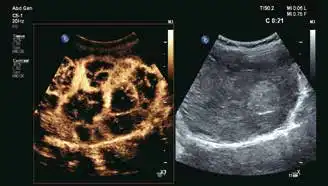
超声造影



直观 快速
联合弹性

正常肝脏ElastQ显示组织硬度的定量测 肝纤维化ElastQ显示组织硬度值升高

ElastQ显示病灶周边组织硬度增高 乳腺癌的应变弹性成像中E/B比值大于1
mC7-2 探头

超声造影

超声融合介入导航 彩色血流
PercuNav 融合和介入导航
解剖智能对位(来源:成贯仪器)
飞利浦EPIQ Elite彩色超声诊断系统快速实现超声与CT(电子计算机断层扫描)、MR(磁共振成像)、PET/CT(正电子发射计算机断层显像)自动对位融合,操作更简便,对位少误差。
丰富手术计划
手术规划完整,使介入操作更加智能,减少介入操作风险。

mC7-2探头
![]() |
肝脏 |
|
肌骨 |
|
|
前列腺 |
eL18-4探头
![]() |
颅脑 |
|
甲状腺 |
XL14-3 探头

纤薄成像 纤薄成像

双-二维应用 双-彩色应用

双-频谱测量 双-频谱测量

斑块上面观 斑块下面观

血管三维减影 剖面镜显示模式

L12-3 Ergo血管 eL18-4 MFI(来源:成贯仪器)

xPlane测量频谱 iSlice断层切割显示斑块

颈总动脉分叉 颈总动脉狭窄

淋巴结双微造影模式 肝脏超声造影

乳腺结节MFI显示其内部血流 mC7-2肝脏

穿刺针增强 肝脏血管实时三维造影