奥林巴斯超声内镜图像处理装置EU-ME3
EU-ME3旨在支持更准确地诊断和治疗肝胆胰和肺部疾病。注册证编号:国械注进20253060504
购买热线:+86-21-54286005
资源
EU-ME3宣传册-英文
EU-ME3旨在支持更准确地诊断和治疗肝胆胰和肺部疾病。注册证编号:国械注进20253060504
购买热线:+86-21-54286005
EU-ME3宣传册-英文
EU-ME3 具有更多的功能,更好的可视化,以及更强的可操作性,扩大了内窥镜检查的范围。

增强的可视化
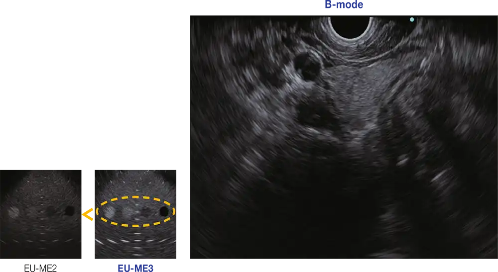
增强型B模式
EU-ME3 在一个紧凑的机身内提供了出色的图像质量和功能--与高端超声中心兼容。 与我们的传统处理器(EU-ME2)相比,B模式图像质量得到了大幅提升。

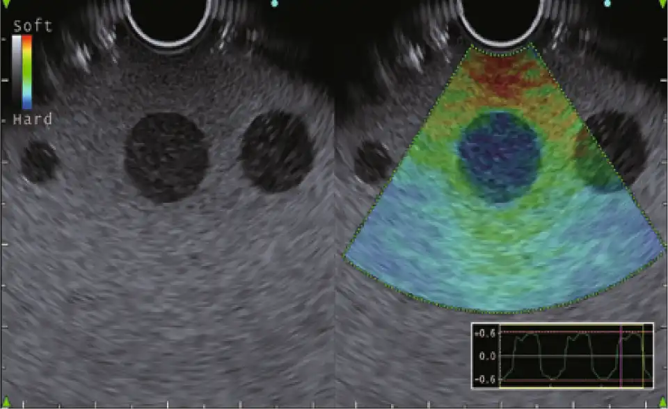
改进的弹性成像
EU-ME3 具有弹性成像功能,在压缩和回缩过程中,可以看到组织的应变量(组织硬度),从而可以获得更多关于组织特性的信息。

对比谐波超声 (CHE)
对比度谐波回声(CHE)对来自超声造影剂的谐波成分进行成像。
新增加的C-THE模式对生物组织的信号和对比度进行成像。

组织谐波超声 (THE)
当超声波在组织中传播时,会产生失真,并产生谐波成分。组织谐波超声(THE)模式利用这些成分来建立目标区域的图像,提供更详细的颗粒状描述。谐波成像的优点包括提高分辨率,改善信噪比,以及减少伪影。
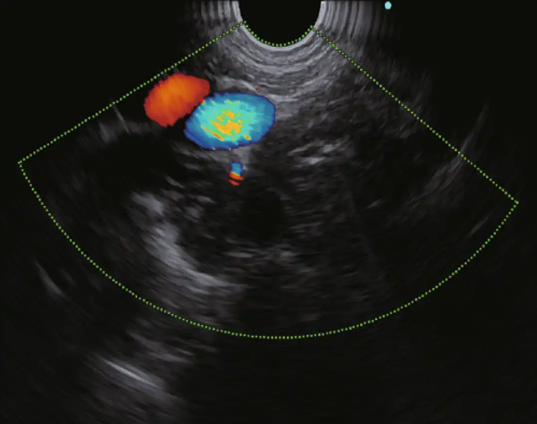
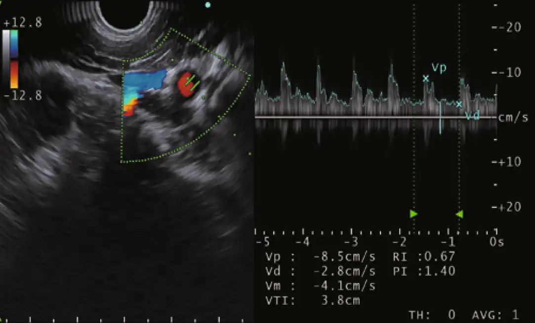
多普勒模式
EU-ME3 提供三种基本的多普勒模式,以更清楚地分辨血流--彩色血流、能量血流和脉冲波多普勒(PWD)。多普勒模式可用于支持更安全的手术,使病人和医生都受益。
除了三种基本的多普勒模式外,EU-ME3还具有H-Flow模式。H-Flow是一种更敏感的多普勒模式,可显示定向血流,且花纹较少。它对回声内窥镜尖端周围的小血管成像特别有用。

彩色流 能量流

脉冲波多普勒 H-Flow
增强功能
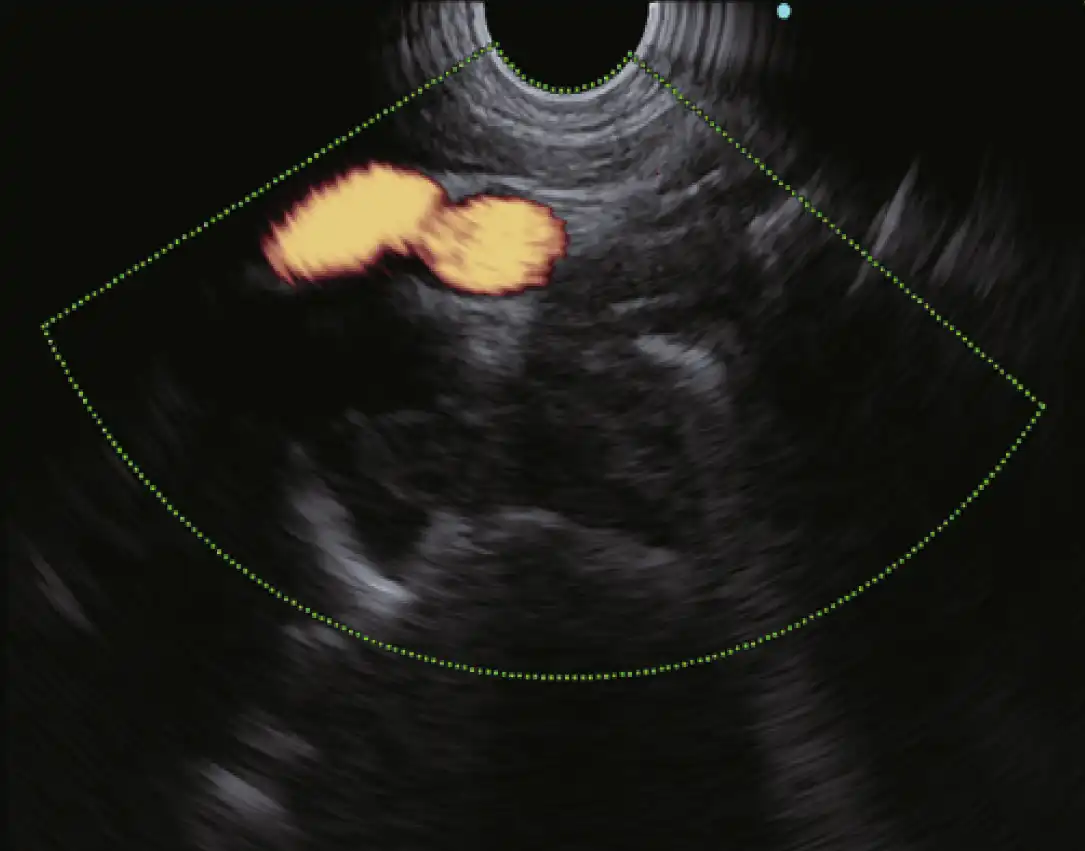
剪切波定量 (SWQ)
SWQ 提供了一个感兴趣区域内组织硬度的绝对值。
它通过计算由推动脉冲产生的剪切波的传播速度来进行这种定量的组织评估。

弹性成像 (i-ELST)
i-ELST是纳入EU-ME3的一项新技术,使其更容易显示弹性图像,即使在脉动引起的位移不大。
s-FOCUS
EU-ME3配备了s-FOCUS模式,可以减少分辨率随距离超声换能器表面的变化而变化。s-FOCUS模式可以减少与超声换能器表面的距离带来的分辨率的变化,在手术过程中无需手动调整焦距。

键盘易用性
键盘的设计考虑到了简单的布局,包括一个用户友好的内置触摸面板、LED背光键和一个触控板,便于使用和清洁。较大的液晶触摸面板可以同时显示更多的功能。

易于定位
多普勒感兴趣区(ROI)的位置和大小可以通过触控板或触摸面板上的按钮方便地调整。
广泛的兼容性
EU-ME3集成了电子和机械扫描技术,与回声内窥镜和微型探头兼容,为全方位的应用创造了一个整体的内窥镜解决方案。

可选的功能
软件可选项可以满足任何设施的需要。由于功能是可选的,你可以根据你的需要和预算来选择和增加必要的功能。

超声功能的比较
| EU-ME2 | EU-ME2 PREMIER |
EU-ME2 PREMIER PLUS |
EU-ME3 | |
| B模式 | ✓ | ✓ | ✓ | ✓ |
| THE (组织谐波超声) | ✓ | ✓ | ✓ | |
| Flow | ✓ | ✓ | ✓ | ✓ |
| PWD (脉冲波多普勒) | ✓ | ✓ | ✓ | ✓ |
| CHE (对比谐波超声) | ✓ | ✓ |
✓ (软件可选) |
|
| 弹性成像 | ✓ |
✓ (软件可选) |
||
| SWQ (剪切波定量)* |
✓ (软件可选) |
* 用于消化道仅与GF-UCT180/260和GF-UE190/290兼容。